卓誠惠生在突破傳統方法生化鑒定及血清學試驗操作繁瑣、結果判讀困難的基礎上,研發了一系列可全面覆蓋多種食源性致病菌及腹瀉病毒的整體篩查方案,在快速鑒定食源性致病微生物及毒力分型方面具有獨特優勢,大大縮短了檢測周期和成本。可廣泛應用于日常檢測、快速篩查、疫情處置等多種場景,適用于普通PCR及熒光PCR不同檢測平臺,完全符合國家標準及《國家食品風險監測工作手冊》中的相關要求。
熒光PCR快速篩查方案

食源性致病菌多重PCR檢測

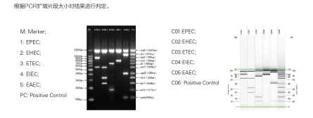
五種致瀉大腸埃希氏菌國標方案
GB4789.6-2016對致瀉大腸埃希氏菌PCR確認實驗做了明確規定,但單重PCR檢測無法滿足大量樣本的快速篩查和分型鑒定需求,ABT五種大腸埃希氏菌國標版多重檢測方案,完全符合國標要求,一次性完成五種型別及特異性基因的快速鑒定。

在原有制作工藝基礎上,公司升級開發了凍干粉預分裝系列,無需體系配制操作,1min完成樣本上機。

產品列表
產品編號 |
產品名稱 |
A552L |
食源性致病菌核酸多重實時熒光PCR檢測試劑盒 |
A226N |
十四種食源性致病菌核酸多重PCR檢測試劑盒 |
A2974 |
副溶血性弧菌toxR/tdh/trh/tlh四重實時熒光PCR檢測試劑盒 ? |
A5194 |
霍亂弧菌通用型/O1群/O139群/CTX基因四重實時熒光PCR檢測試劑盒 |
A2503 |
空腸彎曲菌/結腸彎曲菌/海鳥彎曲菌核酸三重實時熒光PCR檢測試劑盒 |
A3346 |
五種致病彎曲菌核酸多重實時熒光PCR檢測試劑盒 |
A5514 |
蠟樣芽孢桿菌/產氣莢膜梭菌/氣單胞菌/彎曲菌核酸四重實時熒光PCR檢測試劑盒 |
A714L |
五種致瀉大腸埃希氏菌核酸多重實時熒光PCR檢測試劑盒(C版本) |
A714LFD |
五種致瀉大腸埃希氏菌核酸多重實時熒光PCR檢測試劑盒(C版本)(凍干型) |
A2418 |
五種致瀉大腸埃希氏菌核酸多重實時熒光PCR檢測試劑盒(A版本) |
A5144 |
五種致瀉大腸埃希氏菌核酸多重實時熒光PCR檢測試劑盒(國標補充版) |
A2418-GB |
國標版五種致瀉大腸埃希氏菌核酸多重實時熒光PCR檢測試劑盒 |
A211L |
五種致瀉大腸埃希氏菌核酸多重PCR檢測試劑盒 |
A211LFD |
五種致瀉大腸埃希氏菌核酸多重PCR檢測試劑盒(凍干型) |
A7153 |
A 組/B 組/C 組輪狀病毒核酸三重實時熒光 PCR 檢測試劑盒 |
A2602 |
諾如病毒GI/諾如病毒GII核酸雙重實時熒光PCR檢測試劑盒 |
A3951 |
MS2過程控制實時熒光PCR檢測試劑盒 |
A2593 |
A組輪狀病毒/諾如病毒GI/諾如病毒GII核酸三重實時熒光PCR檢測試劑盒 |
A2723 |
札如病毒/腺病毒/星狀病毒核酸三重實時熒光PCR檢測試劑盒 |
A7133 |
A組輪狀病毒/腺病毒/星狀病毒核酸三重實時熒光PCR檢測試劑盒 |
A7123 |
諾如病毒GⅠ型/諾如病毒GⅡ型/札如病毒核酸三重實時熒光PCR檢測試劑盒 |
A7942 |
甲型/戊型肝炎病毒核酸雙重實時熒光PCR檢測試劑盒 |
更多產品請聯系我們。。。 | |
此類產品未獲得醫療器械注冊證,故僅供科研使用,不可用于臨床診斷過程,請您知悉!